こんにちは。
先日・・・といっても割と前なんですけども、低侵襲レジンを用いたホワイトスポットの改善方法というセミナーを受講し、ICON治療という存在を知ることが出来ました。
そもそもホワイトスポットとは何かというと、

こんな感じで、歯の表面に白い点があることってありませんか?
この部分をホワイトスポットと言います。
今までこの部分を治療するためには
①白くなっている部分を削って、プラスチックを詰める(コンポジットレジン)
②歯の表面部分全体を削ってセラミックを貼り付ける(ラミネートベニア)
③全周の歯を削ってセラミックの被せ物を入れる(セラミッククラウン)
と、この3種類が主たる方法でした。
それぞれ侵襲の小さい順に①<②<③となる訳ですが、毎回書いていますが、
治療したところは自費だろうが保険だろうが必ずまた虫歯になります。
その為、治療介入する際には侵襲の小さい物から順に行っていくのが通常です。
その方が歯を多く残せますからね。
今回ご紹介する治療方法(ICON)は、従来の治療方法とは異なり、
歯を削らなくて済む唯一の治療法となります。
(表層を一層研磨することはあります)
そのため、侵襲の順が小さい順に、
ICON<超えられない壁<①<②<③
といった感じになるんです。
ではここでICON治療のメリットデメリットを書かせていただきます。
ICON治療のメリット:
・歯を削らないで済む(一層研磨することはあります)
・審美的に違和感なく仕上げることが出来る
・歯を削ったりする不快感を感じないで済む
ICON治療のデメリット:
・比較的新しいため、長期予後が不明
・ホワイトスポットの種類によっては改善しきらないことがある
・強い薬剤を使用するため、ラバーダム防湿(ゴムのマスク)が必須
・審美的目的の為、保険適用ではなく自費診療の為治療費が高額となる。
(当院では1本辺り33,000円(税込)となります。)
といった感じですね。
では実際の症例を交えて説明させていただきますね。
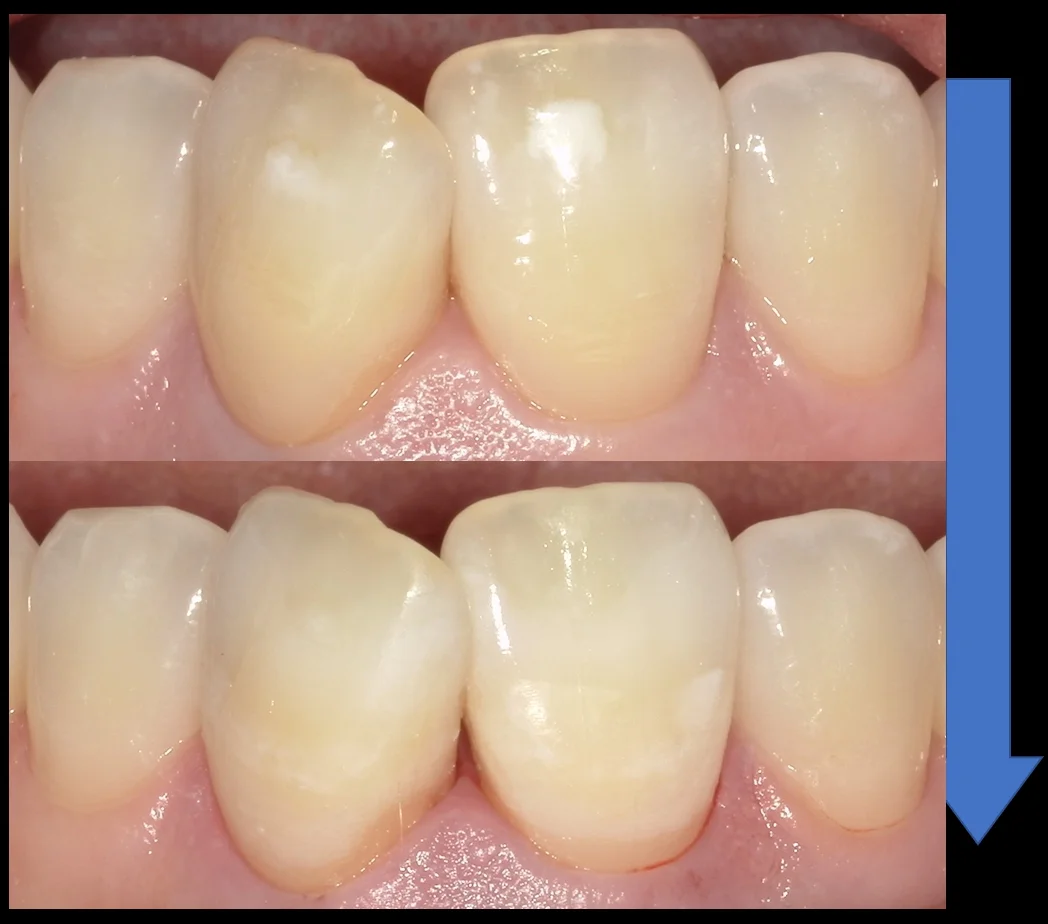
まずは術前の状態です。

真ん中2本の歯の中央に白いホワイトスポットがあるのが分かるかと思います。
まずはこんな感じで・・・

ラバーダムというゴムのマスクを装着します。
というのも、ICONで使用する薬剤の中に塩酸15%溶液があります。
多くの方はなんとなくイメージできるかと思いますが、塩酸は強い酸性で歯茎や唇に当たるとやけどをしてしまいます。
そうならないためにこのようにしっかりと封鎖する必要があるのです。
塩酸にて処理をしたのがこちらの画像になります。

何となく歯の表面が白くなってきているのが分かりますかね?
そして乾燥とエタノールによって肉眼的に確認してます。
この時にホワイトスポットが消えていなければ再度同じ動きをします。
歯質への影響を考え3回までとなっています。
1回目の段階で殆ど消えなかったら、一部歯の表面に研磨を行う必要もあります。
今回はホワイトスポットの程度が重度だったため、研磨を行った上で、薬液を使用していきました。
そしてホワイトスポットが消えたなと肉眼で判断出来たら、そこにICONを染み込ませて固めます。
固めたのがこちらになります。

ラバーダムを外した術前術後の写真はこちらになります。

随分と目立たなくなったのが分かるかと思います。
今まで削らないと治せなかったものを削らずに治せるのはあまりにメリットが大きいですね。
このブログでも何度もお話していますが・・・
削ったところは二度と元に戻りません。
その為、私は「歯の治療は回数券」だと考えています。
例えば20枚綴りの回数券を治療の度に消費していくとします。
従来のように削って詰める手法の場合、どれだけ気を付けても1~2枚程度は必ず消費します。
また、治療したところは遅かれ早かれ必ず駄目になってしまいます。
そして再治療の際には当然最初よりも更に大きく削っていく羽目になります。
それを繰り返していくと最終的には神経を取らざるを得なくなったり、被せ物に移行する羽目になってきます。
だからこそICONのように削らないでも治せる治療というのはメリットが大きいんです。 患者さん本人は長年気になっていたホワイトスポットが消えて非常に喜んでいただけました。
是非そのまま他の部分も含めて健康な状態を維持できると良いですね!